Myofunctional Therapy Myo Smilz

Pat obtained her Bachelor of Science degree in Dental Hygiene at the University of Nebraska Medical Center and was a practicing dental hygienist for 35 years. She also holds a Public Health License in Dental Hygiene. Pat completed her Masters in Human Resource and Family Science at UNL and obtained her Gerontology certification at Colorado State. She then obtained her Orofacial Myofunctional educational training at the Academy of Orofacial Myology in Los Angeles, California and completed her Internship at Billings Speech Pathology Services in Lee’s Summit, Missouri.

Pat has also received advance training at Midwest Orofacial Myology in Chicago, IL and Coulson and Associates in Denver CO. She is certified in parafunctional behavior modification and in oral facial myofascial release.

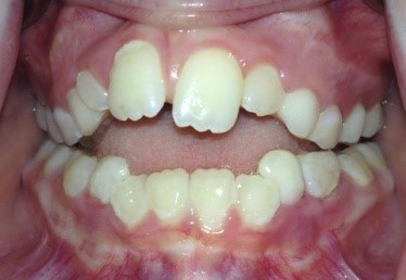
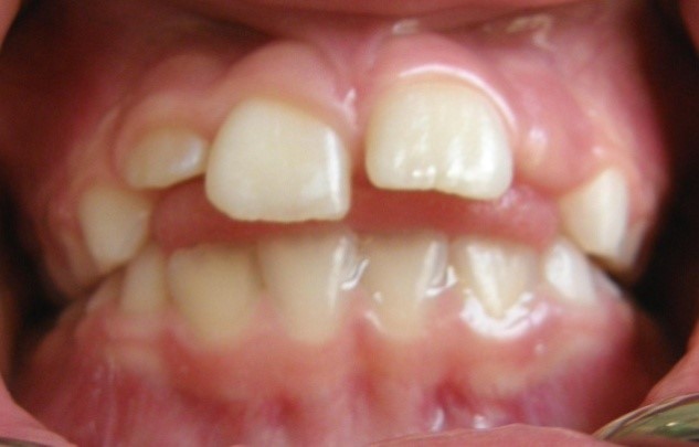
Before Therapy

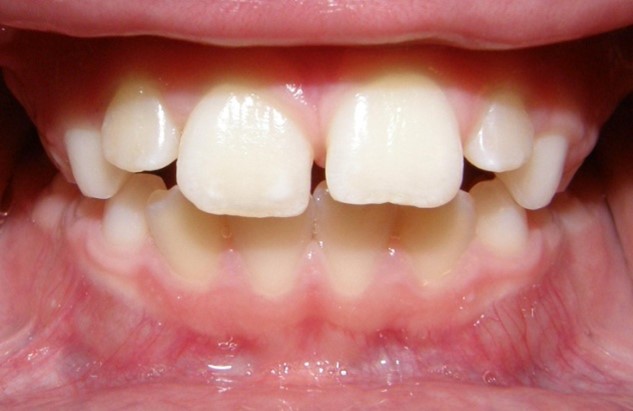
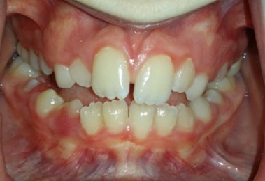
After Therapy

Scroll to Top